מנשך פתוח OPEN BITE
מנשך פתוח הינו ליקוי סגר חמור המאופיין בחוסר מגע בין השיניים העליונות והתחתונות. עקב כך נוצרת בעייה אסתטית ותפקודיות שיכולה להתבטא בקשיים בלעיסה, הפרעות למפרק הלסת ושחיקה חמורה של השיניים.
הסיבות להיווצרות מנשך פתוח הינן רבות ומגוונות, החל מסיבות גנטיות, סיבות תפקודיות כגון נשימת פה, מציצת אצבע או דחיפת לשון בבליעה ובדיבור, או כישלון בבקיעה של שן אחת או יותר.
הטפול האורתודונטי בבעייה זו הינו משולב בטפול גם בבעיות התיפקודיות ובשינוי הרגלים מזיקים, ולכן הצלחת הטפול תלויה מאד בשיתוף הפעולה של המטופל .
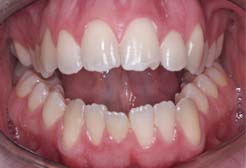
הילד המוצג בתמונות הבאות סבל מבעייה של רפיון שרירים כללי הפה היה פתוח רוב שעות היום והלשון מונחת בין השיניים העליונות והתחתונות.
![]() |
![]() |
זהו מצב חמור של מנשך קדמי פתוח.
הילד לא מסוגל לסגור את השיניים, בזמן הלעיסה רק שתי השיניים האחוריות באות במגע,
והלשון ממוקמת קדימה בזמן בליעה ודיבור.
וזוהי התוצאה של טפול אורתודונטי משולב עם תרגול שרירים ובליעה על ידי קלינאי/ת תקשורת.
התוצאה היא סגר תקין וחיוך יפה.
![]() |
![]() |
מנשך קדמי פתוח אצל מבוגרים
מנשך קדמי פתוח אצל מבוגרים הינו קשה יותר לטפול, אולם כאשר המטופל משתף פעולה ומתרגל שינוי הרגלי בליעה ניתן להגיע לתוצאות טובות ויציבות גם אצל מבוגר על ידי טפול אורתודונטי שמרני.
לדוגמא המטופלת בתמונות הבאות:
| לפני טפול | אחרי טפול |
| |
![]() |
תיקון מנשך קדמי פתוח אצל מבוגרים מצריך לעיתים שימוש במינישתלים אורתודונטים , כמו אצל המטופל המתואר בתמונות הבאות:
השימוש במיקרו שתלים אורתודונטים זמניים לתיקון מנשך קדמי פתוח מודגם בסרטון האנימציה הבא:
מנשך פתוח חמור אצל מבוגרים
במקרים חמורים יותר יש צורך בכירורגיה של הלסתות על מנת לתקן את המנשך הפתוח: באנימציה הבאה מתואר ניתוח לתיקון מנשך קדמי פתוח











